지구촌화제>아시아/호주
호주 건망증 여성 뇌 속에 8㎝ 벌레 살아서 ‘꿈틀’…
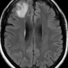
비단뱀 기생 회충…“인체내 발견은 최초 보고사례”야생풀 섭취 이력…사람·짐승 공유지의 위험성 재확인 건망증과 우울증을 앓던 64세 호주 여…
HOT 포토
블핑 리사, 파격 ‘시스루 레이스룩’
마마무 솔라, 파격 비키니로 드러낸 건강미
제니, 비키니 화보 공개… 넘사벽 슬랜더 몸매
‘61세’ 산드라 블록, 샤워 가운 속 드러난 ‘탄
시 사
최대 규모·최고층·최초 공원
수박이 예술이야
“상인·소비자 아우성… 배달
세계식량가격, 3년 2개월
LG전자 경쟁력 재건 강조한
‘유학하기 좋은 도시’ 서울
스포츠
세계 3위 김효주, 5년 만에 KLPGA 우승컵 입
홍명보호 vs 김상식호 매치… 아시안컵 정상 가는
소노 ‘1점 차 승리 드라마’… 챔프전 벼랑 끝서
한화 박준영, 육성선수 출신 데뷔전 선발승… KBO
연예
사미자 “전원주가 고발”…수
강동원-박지현-엄태구, 아이
블랙핑크 리사, 멧 갈라 애
빌리 츠키, ‘카리스마 여신
‘세기의 콘서트’ 레드카펫
황재균, 은퇴하더니… “올해